Cura dentale e igiene orale a Sasso Marconi
Lo Studio Dentistico Bassotti ha a cuore la cura dentale e l’igiene di bocca e denti di ogni paziente. Per questo, propone i trattamenti più innovativi, che garantiscono massima protezione e prevenzione dalle principali patologie dentali e un effetto estetico sempre soddisfacente.
L’igiene dentale permette di prevenire le patologie oro-dentali e promuove la salute orale dei pazienti al fine di migliorarne anche la salute sistemica, nonché l’estetica. Inoltre, riveste un ruolo importante nella terapia non chirurgica di mantenimento dei pazienti con malattia parodontale (parodontite).
Cause dell’ingiallimento dei denti
Una regolare cura dentale permette di contrastare il fastidioso e antiestetico ingiallimento dei denti.
I denti ingialliscono perché, attraverso la saliva, assorbono le sostanze coloranti presenti nel cibi, nelle bevande e nel fumo, e perché il normale processo di invecchiamento li porta ad apparire più scuri e più gialli.
Il colore del dente varia quindi a causa di macchie esterne e interne allo smalto.
Le macchie esterne si rimuovono con una detartrasi, mentre per quelle interne è richiesto un trattamento sbiancante professionale.
Lo sbiancamento professionale dei denti
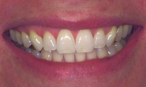
Una cura dentale che garantisce un effetto estetico altamente soddisfacente è lo sbiancamento professionale dei denti. Si tratta di un trattamento che viene effettuato presso lo Studio Dentistico Bassotti dopo un’attenta visita di controllo e in assenza di controindicazioni.
Questa cura dentale consiste nell’applicazione di un gel sulla superficie dei denti, dopo aver accuratamente protetto le gengive. Successivamente, attraverso una lampada a LED Smiling System viene attivata l’azione sbiancante del gel.
Il risultato dello sbiancamento agisce esclusivamente sui denti naturali e lascia invariato il colore di protesi e otturazioni.
La durata del trattamento sbiancante dipende sempre dal colore di partenza dei propri denti.
Nello Studio Dentistico Bassotti è possibile richiedere due tipi di sbiancamento professionale dei denti, a breve e lunga durata.






